

2025.06.25

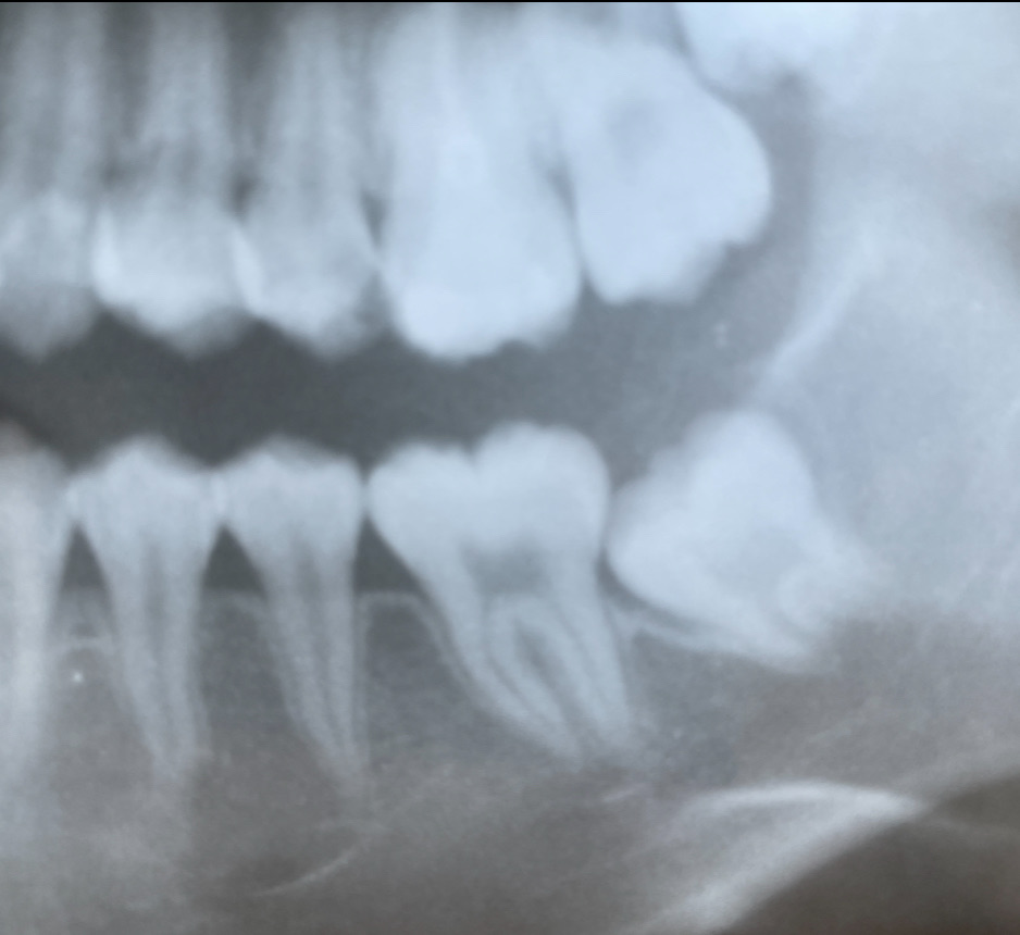
こちらの写真は、10才女の子のレントゲン写真です。
下顎の6歳臼歯に、虫歯ができています。
虫歯の状態は、歯槽骨よりも深く、治療することが不可能な状態です。
この歯の一つ後ろに存在する第二大臼歯は、もうまもなく萌出(ほうしゅつ)すると予想されます。
女性の場合、男性よりも早いタイミングで身長が伸びていきます。
男の子は、中学生で身長が特に伸びていくことが多いのに比較して、女の子は小学校高学年で、急激に身長の伸びることが多いです。
もしも抜歯を必要とする歯が存在する場合、身長が伸びるピークよりも、いくらか早い時期に抜歯を行うことで、歯列矯正を行わなくても、自然に歯並びや噛み合わせが整うことがあります。
このケースでは、10才の間に抜歯を済ませました。
その後は、特別な治療を行うことなく、定期的な検診のみで経過観察を行いました。
そして、5年後、15才になったときのレントゲン写真がこちらです。

後ろの第二大臼歯が、抜歯してできたスペースを綺麗に埋めてくれました。
ご本人さまにも、快適に日常生活を過ごして頂いています。
他院の歯科医師の先生にとっては、あまり見ない治療方針と、治癒経過かも知れません。
非常に計画通りに上手く進んだケースです。